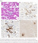
Major New Autopsy Report Reveals Those Who Died Suddenly Were Likely Killed by the Covid Vaccine » image-4
No comments yet.
This site uses Akismet to reduce spam. Learn how your comment data is processed.
Featured Video
INVESTIGATION INTO GEOENGINEERING, MILITARY SPRAYING & SELF-SPREADING VACCINES
or go to
Aletho News Archives – Video-Images
From the Archives
Patrice Lumumba – “A Man of the People”
“Africa will write its own history, and it will be, to the north and to the south of the Sahara, a history of glory and dignity.”
World is Africa | March 29, 2015
Patrice Lumumba, the first Prime Minister of the independent nation of the Congo, was born July 2, 1925 in Onalua in Kasai province of the Belgian Congo. With just a primary education, Lumumba emerged to become one of Africa’s most vocal critics of colonialism. Early in life, he developed interests in grassroots union activities and joined the Postal Union. As secretary-general of the union, Lumumba began publishing essays critical of Belgian colonial rule, and advocating independence and a unified centralized Congo. His writings appealed beyond ethnic and regional loyalties to a national constituency.
In 1955, Lumumba became regional leader of the Circle of Stanleyville and joined the Belgian Liberal Party. In 1956, he was arrested and charged with embezzling union funds and sentenced to two years imprisonment. Released after twelve months, Lumumba became sales director of a brewery in Leopoldville. To solidify his political base, in 1957 Lumumba helped found a broad-based organization that appealed beyond ethnic and regional loyalties—Movement National Congolais (MNC). The following year, he represented the MNC at the Pan-African conference in Accra, Ghana.
His relentless attacks on Belgian rule soon fractured the MNC, resulting in leadership split in July 1959. Undaunted, Lumumba insisted on complete dismantling of Belgian rule. In October 1959, he was arrested for allegedly inciting anti-colonial riots and sentenced to six months. Shortly thereafter, the Belgian government summoned a conference in Brussels to discuss the future of the Congo. Confronted by MNC threat of boycott, the government released Lumumba. At Brussels, Lumumba boldly condemned Belgian rule and advocated immediate independence. Convinced of the imminence of Congolese freedom, Belgium set aside June 30, 1960 as Independence Day.
The Movement National Congolais won the majority in the general election held in May, 1960, and Lumumba became Prime Minister of the Congo, with his political rival Joseph Kasavubu as President. Lumumba’s scathing denunciation of colonialism ruffled feathers not only in Belgium but also in the United States and Great Britain. Unfortunately, his tenure was brief and marred in crises. It began with the army revolt and secession in Katanga and Southern Kasai. … continue
Blog Roll
-
Join 2,726 other subscribers
Visits Since December 2009
- 6,977,011 hits
Looking for something?
Archives
Calendar
Categories
Aletho News Civil Liberties Corruption Deception Economics Environmentalism Ethnic Cleansing, Racism, Zionism Fake News False Flag Terrorism Full Spectrum Dominance Illegal Occupation Mainstream Media, Warmongering Malthusian Ideology, Phony Scarcity Militarism Progressive Hypocrite Russophobia Science and Pseudo-Science Solidarity and Activism Subjugation - Torture Supremacism, Social Darwinism Timeless or most popular Video War Crimes Wars for IsraelTags
9/11 Afghanistan Africa al-Qaeda Australia BBC Benjamin Netanyahu Brazil Canada CDC Central Intelligence Agency China CIA CNN Covid-19 COVID-19 Vaccine Da’esh Donald Trump Egypt European Union Facebook FBI FDA France Gaza Germany Google Hamas Hebron Hezbollah Hillary Clinton Human rights Hungary India Iran Iraq ISIS Israel Israeli settlement Japan Jerusalem Joe Biden Korea Latin America Lebanon Libya Middle East National Security Agency NATO New York Times North Korea NSA Obama Pakistan Palestine Qatar Russia Sanctions against Iran Saudi Arabia Syria The Guardian Turkey Twitter UAE UK Ukraine United Nations United States USA Venezuela Washington Post West Bank WHO Yemen ZionismRecent Comments
roberthstiver on Ex-Israeli spies involved in G… ekain3 on Ex-Israeli spies involved in G… loongtip on Skripal poisoning victim dispu… phyllis costa on Ex-Israeli spies involved in G… loongtip on Kremlin reacts to UK plans for… loongtip on Russian oil product exports sh… roberthstiver on Ex-Israeli spies involved in G… Unome on In Israel, ADL Chief Jonathan… porch20892e3f47 on Kremlin reacts to UK plans for… Chris Moore on Biden warns of tech oligarchs’… Dan Kelly on Biden warns of tech oligarchs’… roberthstiver on Biden’s ’empty thr…
Aletho News- New US Nuke Deployment in Europe Raises Serious Questions About NATO’s True Nature
- Trump’s apparent push for Gaza ceasefire only magnifies Biden’s wickedness
- I saw shredded bodies scattered on roads and hanging from trees in Lebanon: Journalist
- Did Syria’s new leaders fake an ‘ISIS plot’ to attack the Sayyeda Zainab shrine?
- 300 Million Cubic Meters a Day? Russia-Iran Pipeline Promises Major Energy Boost
- 2014 Coup Allowed CIA to Tap Into Vast Troves of Russian Intel, Turn Ukraine Into Proxy Shadow Army
- ICAN’s INVESTIGATION INTO GEOENGINEERING, MILITARY SPRAYING & SELF-SPREADING VACCINES
- Exposed: How US Fumbled Chance to Buy Russia’s Best-in-the-World Waterbombers to Fight LA Infernos
- Biden worked ‘tirelessly around the clock’ — to prevent a ceasefire
- Ex-Israeli spies involved in Gaza genocide building AI systems for global tech companies
If Americans Knew- Israel has killed over 100 Gazans since ceasefire announcement – Day 467
- Biden worked ‘tirelessly around the clock’ – to prevent a ceasefire
- “Why Are You Not in the Hague?”
- How the State Department Let Israel Get Away With Horrors in Gaza
- The Ceasefire Charade
- Israel destroyed Gaza and the world remained silent
- Biden diplomacy had little to do with ceasefire, much to do with genocide – Day 466
- BREAKING: Israel, Hamas agree to a ceasefire deal – Day 465
- WATCH: 60 Minutes Report on Gaza (Jan 13, 2025)
- Ceasefire deal may be very near, but Palestinian suffering is ongoing – Day 464
No Tricks Zone- Hype Uncovered: ‘Nature’ Study Shows That Permafrost Is Not A Climate Tipping Point
- 3 More New Drought And Temperature Reconstructions Do Not Support The Climate Alarm Narrative
- 2024 Registrations Of New Electric Cars Plummet 27.5% In Germany…”Petrol Dominates”
- Physicists: Increasing CO2 By 100% Only Reduces Radiative Cooling To Space By An Imperceptible 1%
- Japanese Scientist: The IPCC’s Climate Models Are Fundamentally Flawed, Use False Assumptions
- Cambridge Scientists: Climate Change Is Not The Cause Of Megafauna Extinctions
- Scientists: Greenland July 14°C Warmer With 35% Less CO2 250,000 Years Ago!
- Germany Already Rationing Energy…”Avoid Using Electric Appliances Until After 11 A.M.!
- Central Greenland Was Recently Ice-Free And Covered With Plants When CO2 Was Under 300 ppm
- 2025 Looks Bleak For Germany…Energy The Most Expensive In Europe …Growing Speech Tyranny
Contact:
atheonews (at) gmail.com
Disclaimer
This site is provided as a research and reference tool. Although we make every reasonable effort to ensure that the information and data provided at this site are useful, accurate, and current, we cannot guarantee that the information and data provided here will be error-free. By using this site, you assume all responsibility for and risk arising from your use of and reliance upon the contents of this site.
This site and the information available through it do not, and are not intended to constitute legal advice. Should you require legal advice, you should consult your own attorney.
Nothing within this site or linked to by this site constitutes investment advice or medical advice.
Materials accessible from or added to this site by third parties, such as comments posted, are strictly the responsibility of the third party who added such materials or made them accessible and we neither endorse nor undertake to control, monitor, edit or assume responsibility for any such third-party material.
The posting of stories, commentaries, reports, documents and links (embedded or otherwise) on this site does not in any way, shape or form, implied or otherwise, necessarily express or suggest endorsement or support of any of such posted material or parts therein.
The word “alleged” is deemed to occur before the word “fraud.” Since the rule of law still applies. To peasants, at least.
Fair Use
This site contains copyrighted material the use of which has not always been specifically authorized by the copyright owner. We are making such material available in our efforts to advance understanding of environmental, political, human rights, economic, democracy, scientific, and social justice issues, etc. We believe this constitutes a ‘fair use’ of any such copyrighted material as provided for in section 107 of the US Copyright Law. In accordance with Title 17 U.S.C. Section 107, the material on this site is distributed without profit to those who have expressed a prior interest in receiving the included information for research and educational purposes. For more info go to: http://www.law.cornell.edu/uscode/17/107.shtml. If you wish to use copyrighted material from this site for purposes of your own that go beyond ‘fair use’, you must obtain permission from the copyright owner.
DMCA Contact
This is information for anyone that wishes to challenge our “fair use” of copyrighted material.
If you are a legal copyright holder or a designated agent for such and you believe that content residing on or accessible through our website infringes a copyright and falls outside the boundaries of “Fair Use”, please send a notice of infringement by contacting atheonews@gmail.com.
We will respond and take necessary action immediately.
If notice is given of an alleged copyright violation we will act expeditiously to remove or disable access to the material(s) in question.
All 3rd party material posted on this website is copyright the respective owners / authors. Aletho News makes no claim of copyright on such material.



Leave a comment